| 1 |
21 دی 1403 بلیچینگ دندان (Dental Bleaching) سفیدی و درخشندگی دندانها، نقش مهمی در زیبایی لبخند و اعتمادبهنفس دارد. بلیچینگ دندان یکی از پیشرفتهترین و مؤثرترین روشها برای سفید کردن دندانهاست. با وجود تکنیکهای متنوع و مواد پیشرفته، این روش به یکی از محبوبترین انتخابها در دندانپزشکی زیبایی تبدی ... | |  | |
|
20 دی 1403 عوارض بلیچینگ دندان چیست و چگونه میتوان از آن پیشگیری کرد؟ بلیچینگ دندان یکی از محبوبترین روشهای زیبایی برای سفید کردن دندانها و از بین بردن زردی و لکههای سطحی است. این تکنیک به شما کمک میکند لبخندی درخشانتر و زیباتر داشته باشید. با این حال، مانند هر روش دندانپزشکی دیگری، بلیچینگ نیز ممکن است با عوارض جانبی ... | |  | |
|
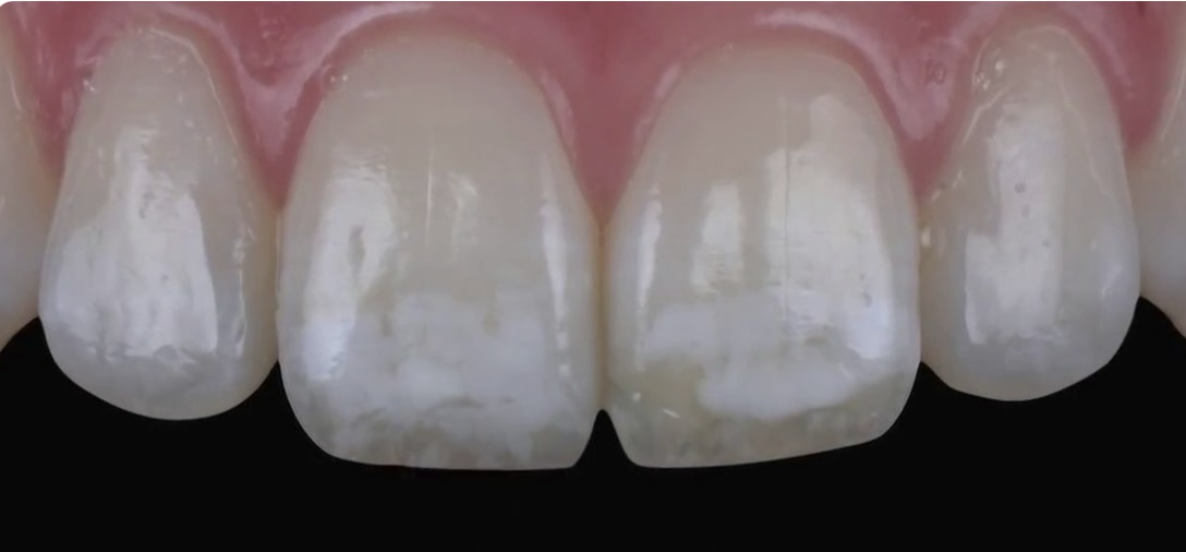
19 دی 1403 لکههای سفید روی دندانها پس از بلیچینگ: علل، تأثیرات و راهحلها سفید کردن دندانها یا بلیچینگ یکی از محبوبترین روشهای زیبایی دندانپزشکی است که لبخندی روشنتر و جوانتر به شما هدیه میدهد. با وجود اثربخشی بالای این روش، برخی افراد پس از انجام بلیچینگ متوجه ظهور لکههای سفید روی دندانهای خود میشوند. این لکهها میتوا ... | |  | |
|
16 دی 1403 راهنمای جامع بلیچینگ دندان: از حساسیت تا ماندگاری بلیچینگ دندان یکی از روشهای محبوب و غیرتهاجمی برای سفید کردن دندانها و افزایش زیبایی لبخند است. با این حال، حساسیت دندان و بازگشت رنگ پس از مدتی از دغدغههای اصلی بیماران است. در این متن، به دلایل حساسیت، نحوه عملکرد مواد بلیچینگ، تعداد جلسات لازم، و راه ... | |  | |
|
| 1 |