لکه‌های سفید روی دندان‌ها پس از بلیچینگ: علل، تأثیرات و راه‌حل‌ها

چهارشنبه 19 دی 1403
سفید کردن دندان‌ها یا بلیچینگ یکی از محبوب‌ترین روش‌های زیبایی دندانپزشکی است که لبخندی روشن‌تر و جوان‌تر به شما هدیه می‌دهد. با وجود اثربخشی بالای این روش، برخی افراد پس از انجام بلیچینگ متوجه ظهور لکه‌های سفید روی دندان‌های خود می‌شوند. این لکه‌ها می‌توانند نگران‌کننده باشند و باعث شوند افراد فکر کنند که بلیچینگ به دندان‌هایشان آسیب رسانده یا نشانه‌ای از مشکل جدی‌تر است.



در این مقاله به بررسی دقیق علل ظهور لکه‌های سفید پس از بلیچینگ، میزان خطرناک بودن آن‌ها و راه‌حل‌های ممکن می‌پردازیم. در پایان، شما درک روشنی از این پدیده خواهید داشت.

بلیچینگ دندان را بهتر بشناسیم

بلیچینگ دندان شامل استفاده از مواد سفیدکننده مانند پراکسید هیدروژن یا پراکسید کربامید برای از بین بردن لکه‌ها و تغییر رنگ در لایه‌های مینای دندان و عاج است. با اینکه این روش به طور کلی ایمن و مؤثر است، فرآیند بلیچینگ به طور موقت محیط دندان‌ها را تغییر می‌دهد و ممکن است مشکلات پنهان مینای دندان را نمایان‌تر کند.

ظهور لکه‌های سفید پس از بلیچینگ می‌تواند به دلایل مختلفی از جمله مشکلات پیشین مینای دندان، خود فرآیند بلیچینگ یا عادات بیمار باشد. برای درک بهتر این موضوع، علل رایج این پدیده را به تفصیل بررسی می‌کنیم.

 

علل لکه‌های سفید پس از بلیچینگ

۱. کلسیم‌زدایی یا هیپوکلسیفیکاسیون از قبل موجود

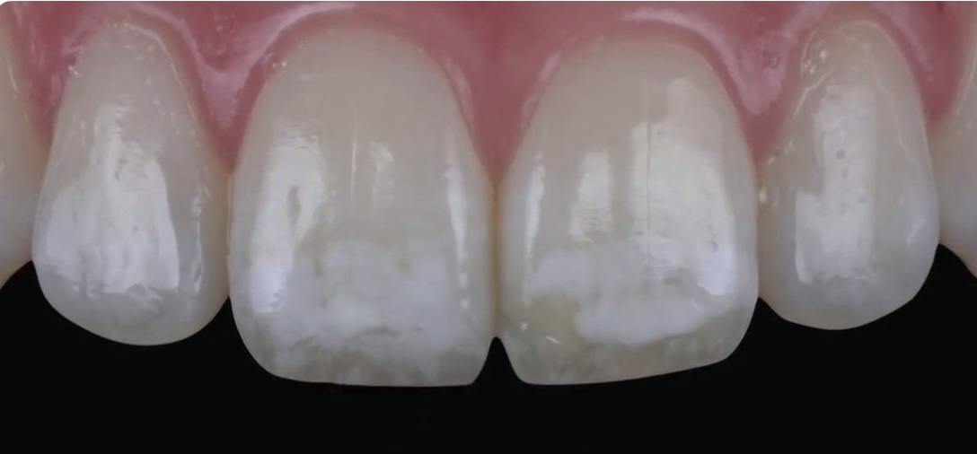
لکه‌های سفید اغلب پیش از بلیچینگ وجود دارند اما پس از این فرآیند واضح‌تر می‌شوند. این لکه‌ها ممکن است به دلیل هیپوکلسیفیکاسیون ایجاد شوند، وضعیتی که در آن برخی نواحی مینای دندان در دوران رشد به درستی مواد معدنی جذب نمی‌کنند و لکه‌های سفیدتر و ضعیف‌تر نسبت به نواحی اطراف ایجاد می‌شود.

• چرا اتفاق می‌افتد؟ مواد سفیدکننده تمامی مینای دندان را روشن‌تر می‌کنند، اما لکه‌های از پیش روشن‌تر به شکل متفاوتی واکنش نشان می‌دهند و تضاد بیشتری ایجاد می‌کنند.

• نشانه‌ها: این لکه‌ها معمولاً به صورت گچی یا مات دیده می‌شوند و بیشتر در نزدیکی خط لثه یا روی دندان‌های جلویی ظاهر می‌شوند.

 

۲. خشکی مینای دندان

محصولات سفیدکننده، به‌ویژه آن‌هایی که حاوی پراکسید هیدروژن هستند، می‌توانند به طور موقت باعث خشکی مینای دندان شوند. این خشکی، دندان را در برخی نقاط سفیدتر نشان می‌دهد. خوشبختانه، این لکه‌ها موقتی هستند و معمولاً طی ۲۴ تا ۴۸ ساعت با بازگشت رطوبت به حالت عادی برمی‌گردند.

• چرا اتفاق می‌افتد؟ فرآیند اکسیداسیون در بلیچینگ، آب موجود در ساختار مینای دندان را خارج می‌کند. با بازگشت رطوبت، ظاهر مینای دندان به حالت طبیعی برمی‌گردد.

• ویژگی‌ها: لکه‌های ناشی از خشکی معمولاً پراکنده و بدون حالت گچی لکه‌های هیپوکلسیفیکاسیون هستند.

 

۳. کاربرد نامنظم مواد سفیدکننده

کاربرد نادرست مواد سفیدکننده می‌تواند باعث نتایج ناهمگون شود، به طوری که برخی قسمت‌های دندان سریع‌تر از سایر قسمت‌ها سفید می‌شوند. این موضوع ممکن است به دلیل استفاده نادرست از قالب‌های سفیدکننده، پوشش ناکافی ژل سفیدکننده یا قرار گرفتن نامنظم در معرض مواد در درمان‌های داخل مطب رخ دهد.

• چرا اتفاق می‌افتد؟ فرآیند بلیچینگ به تماس یکنواخت با مواد سفیدکننده متکی است. اگر برخی نواحی دندان بیشتر در معرض این مواد قرار بگیرند، نتایج ناهمگون ایجاد می‌شود.

• نشانه‌ها: لکه‌های سفید ناشی از این مشکل معمولاً در نواحی خاصی متمرکز بوده و با جلسات اضافی بلیچینگ قابل بهبود هستند.

 

۴. فلوئوروزیس

فلوئوروزیس دندانی که در اثر قرار گرفتن بیش از حد در معرض فلوراید در دوران کودکی ایجاد می‌شود، اغلب به لکه‌های سفید یا قهوه‌ای روی مینای دندان منجر می‌شود. این لکه‌ها نسبت به مینای سالم متخلخل‌تر هستند و به مواد سفیدکننده به شکلی متفاوت واکنش نشان می‌دهند، که باعث می‌شود پس از بلیچینگ واضح‌تر شوند.

• چرا اتفاق می‌افتد؟ نواحی آسیب‌دیده توسط فلوئوروزیس بیشتر مستعد تغییر رنگ در طی بلیچینگ هستند و لکه‌های سفید برجسته‌تر می‌شوند.

• ظاهر: لکه‌های ناشی از فلوئوروزیس معمولاً متقارن بوده و به صورت الگوهایی روی چند دندان دیده می‌شوند.

 

۵. دمینرالیزاسیون مینای دندان

دمینرالیزاسیون زمانی اتفاق می‌افتد که اسیدهای ناشی از پلاک، غذا یا نوشیدنی مینای دندان را فرسایش می‌دهند. این امر لکه‌های گچی سفید ایجاد می‌کند که پس از بلیچینگ واضح‌تر می‌شوند. دمینرالیزاسیون اغلب نشانه اولیه پوسیدگی دندان است و باید سریعاً درمان شود.

• چرا اتفاق می‌افتد؟ مینای دمینرالیزه به طور متفاوتی به مواد سفیدکننده واکنش نشان می‌دهد و معمولاً سفیدتر یا مات‌تر به نظر می‌رسد.

• خطرات: برخلاف لکه‌های ناشی از خشکی، این لکه‌ها نشان‌دهنده آسیب مینای دندان هستند و ممکن است نیاز به درمان داشته باشند.

 

آیا لکه‌های سفید پس از بلیچینگ خطرناک هستند؟

 

در اکثر موارد، لکه‌های سفید پس از بلیچینگ خطرناک نیستند. این لکه‌ها معمولاً جنبه زیبایی دارند و ناشی از شرایط موجود در مینای دندان یا اثرات موقتی بلیچینگ هستند. با این حال، در برخی موارد ممکن است نشانه مشکلات جدی‌تری باشند که نیاز به رسیدگی دارند.

 

لکه‌های بی‌خطر

• خشکی مینای دندان: لکه‌های موقتی ناشی از خشکی ظرف ۱ تا ۲ روز به طور طبیعی از بین می‌روند.

• هیپوکلسیفیکاسیون: لکه‌های هیپوکلسیفیکاسیون پایدار بوده و به سلامت دهان آسیب نمی‌رسانند.

 

لکه‌های نگران‌کننده

• دمینرالیزاسیون: لکه‌های ناشی از دمینرالیزاسیون نشان‌دهنده ضعف مینای دندان و افزایش خطر پوسیدگی هستند.

• فلوئوروزیس: اگرچه معمولاً بی‌خطر است، اما فلوئوروزیس شدید می‌تواند یکپارچگی مینای دندان را تحت تأثیر قرار داده و نیاز به مداخله زیبایی داشته باشد.

 

راه‌حل‌هایی برای رفع لکه‌های سفید پس از بلیچینگ

 

۱. بازگرداندن رطوبت به دندان‌ها

• برای لکه‌های ناشی از خشکی، توصیه کنید که ۲۴ تا ۴۸ ساعت صبر کنند.

• از مصرف مواد اسیدی یا خشک‌کننده مانند دهان‌شویه‌های الکلی بلافاصله پس از بلیچینگ خودداری کنید.

 

۲. درمان‌های فلوراید

• استفاده از دهان‌شویه‌ها یا خمیردندان‌های حاوی فلوراید می‌تواند به بازسازی مینای دندان کمک کند.

• وارنیش‌های فلوراید حرفه‌ای نیز ممکن است به تقویت مینای دندان و کاهش ظاهر لکه‌ها کمک کنند.

 

۳. روش‌های حرفه‌ای دندانپزشکی

• میکروابریژن: برداشتن لایه‌ای نازک از مینای دندان برای کاهش ظاهر لکه‌های سطحی.

• نفوذ رزین (تکنیک آیکون): استفاده از رزین برای پر کردن و مخفی کردن لکه‌های سفید.

• باندینگ یا ونیرها: برای لکه‌های شدید یا ماندگار، این روش‌ها می‌توانند راه‌حلی بلندمدت برای پوشاندن نواحی آسیب‌دیده باشند.

 

۴. یکنواخت کردن بلیچینگ

• در صورت بروز نتایج ناهمگون، جلسات اضافی بلیچینگ می‌توانند نتایج را یکدست‌تر کنند.

• استفاده از هوم بلیچ برای توزیع یکنواخت مواد سفیدکننده انجام می‌شود.

 

پیشگیری از لکه‌های سفید هنگام بلیچینگ

• ما با استفاده از مواد با کیفیت با بهترین دندانپزشکان، از روش‌های افیس بلیچ برای کنترل بهتر فرآیند بلیچینگ استفاده می کنیم.

• در دندانپزشکی الزهرا ما برای اطمینان از پوشش یکنواخت مواد سفیدکننده هوم بلیچ را به بیماران خود ارائه می دهیم. جهت رزرو نوبت آنلاین کلیک کنید.

• از مصرف بیش از حد مواد سفیدکننده خودداری کرده و دستورالعمل‌ها را به دقت رعایت کنید.

• قبل از بلیچینگ، مشکلات مینای دندان مانند دمینرالیزاسیون یا فلوئوروزیس را درمان می کنیم. البته در مواردی پس از درمان اقدام به درمان خواهد شد، این تصمیم بر عهده پزشک حاذق شما در کلینیک تخصصی دندانپزشکی ما صورت می گیرد.

 

پرسش‌های متداول درباره لکه‌های سفید پس از بلیچینگ

آیا لکه‌های سفید پس از بلیچینگ از بین می‌روند؟

لکه‌های موقتی ناشی از خشکی معمولاً طی ۱ تا ۲ روز از بین می‌روند. اما لکه‌های ناشی از مشکلات پیشین مانند هیپوکلسیفیکاسیون، فلوئوروزیس یا دمینرالیزاسیون ممکن است باقی بمانند مگر اینکه درمان شوند.

 

آیا بلیچینگ برای دندان‌های دارای لکه سفید ایمن است؟

بله، اما باید انتظارات مدیریت شود. بلیچینگ ممکن است لکه‌های سفید را در ابتدا برجسته‌تر کند، اما با درمان‌های تکمیلی قابل بهبود است.

 

چگونه می‌توان از برجسته شدن لکه‌های سفید جلوگیری کرد؟

پیش از سفید کردن، شرایط مینای دندان را درمان کنید. از روش‌های حرفه‌ای استفاده کنید و به توصیه‌های دندانپزشک خود عمل کنید.

 

نتیجه‌گیری

لکه‌های سفید روی دندان‌ها پس از بلیچینگ یک اتفاق رایج هستند که معمولاً به دلیل شرایط قبلی مینای دندان یا اثرات موقتی بلیچینگ ایجاد می‌شوند. این لکه‌ها اغلب بی‌خطر هستند، اما در برخی موارد ممکن است به دلیل مشکلات جدی‌تری باشند که نیاز به درمان دارند.

با استفاده از تکنیک‌های مناسب و توجه به سلامت مینای دندان، می‌توانید احتمال بروز لکه‌های سفید را به حداقل برسانید و لبخندی زیبا و روشن به بیماران ارائه دهید. در صورت ماندگاری لکه‌ها یا وجود نشانه‌هایی از آسیب مینای دندان، مشورت با یک دندانپزشک حرفه‌ای برای تعیین بهترین مسیر درمان ضروری است.

جهت مشاهده حساسیت دندانی پس از بلیچینگ کلیک کنید.

 

جهت رزرو آنلاین نوبت دندانپزشکی جهت انجام بلیچینگ کلیک کنید.

 

لینک مراقبت های لازم پس از درمان بلیچینگ


تاریخ بروز رسانی:   25 دی 1403

تعداد بازدید:   ۲۶۱

 


ارسال نظر
ايميل :  
نام و نام خانوادگی :  
نظر :
 
حروف تصویر بالا :  
 

نظرات ارسالی
امکان داره مراقبتهای پس از کشیدن دندان رو هم بزارید روی سایت
حسین
پاسخ مدیریت:
با سلام بله حتما


چاپ